Lapin - femelle - 3 ans - 2,9 kg
Lapin bélier de 3 ans présenté en consultation pour une inclinaison de la tête vers la gauche et une légère ataxie.
L'appétit est conservé.
Auscultation : Absence de signes d’uvéite.
Palpation abdominale : Normale.
Examen des conduits auditifs : Absence de sécrétions, présence de squames uniquement.
Examen neurologique : Réflexes normaux, absence de paralysie faciale.
Traitement mis en place :
Fenbendazole 20 mg/kg/jour (per os) pendant 28 jours pour couvrir une éventuelle encéphalitozoonose.
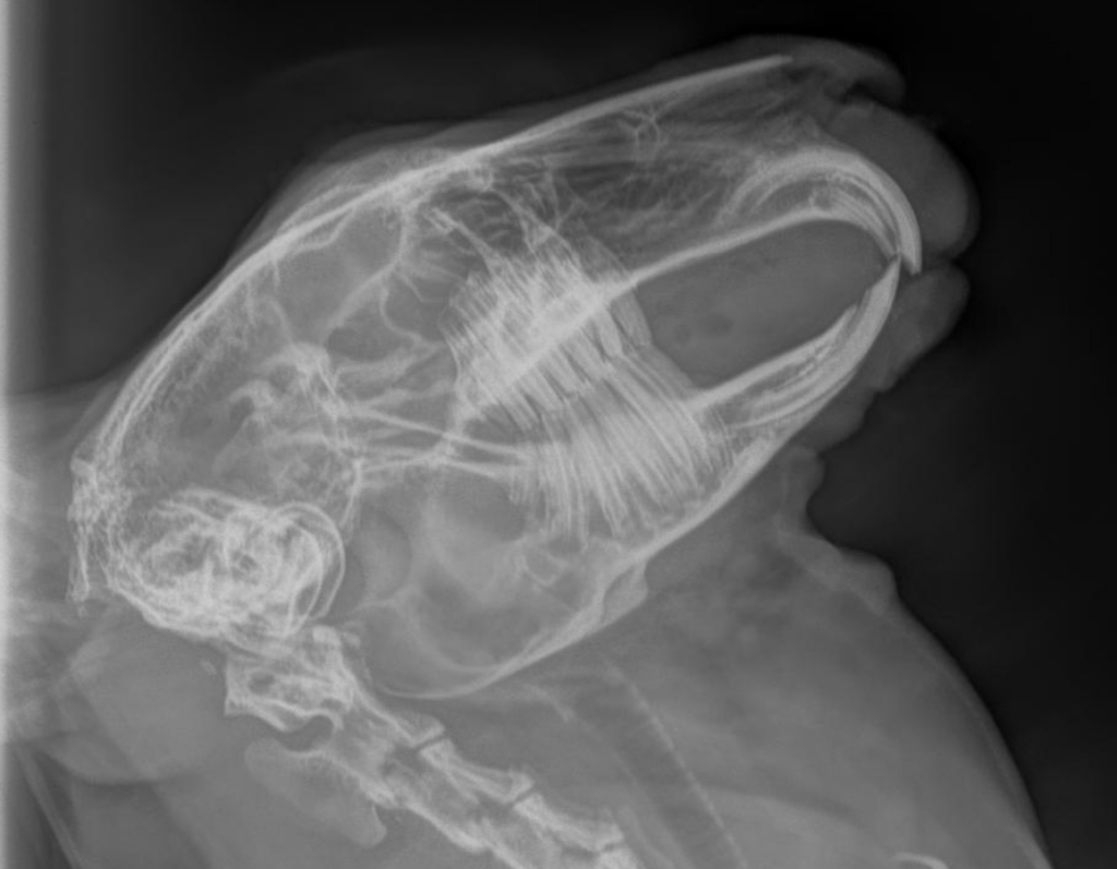
Une radiographie des bulles tympaniques a été réalisée afin d’exclure une otite moyenne ou interne.
À la radiographie, aucune anomalie évidente n’a été détectée.
Cependant, n'étant pas habitué à l'interprétation des clichés radiographiques chez le lapin, un avis spécialisé serait précieux.
Dois-je ajouter un antibiotique pour couvrir une éventuelle méningite bactérienne ?
L’utilisation du clopidogrel est-elle indiquée en cas d’AVC ?
Les propriétaires ayant des contraintes financières, les examens complémentaires restent limités.
NAC | RADIOLOGIE
Expert : Zoologie / NAC
Diplôme : European College of Zoologocial Medicine (ECZM)
Bonjour,
Dans les cas de syndrome vestibulaire chez le lapin, la grande majorité des étiologies sont une otite moyenne ou une encéphalitozoonose. Les autres causes restent rares. L’encéphalitozoonose peut se manifester par des atteintes de plusieurs systèmes (neurologique, oculaire, urinaire), mais la présence isolée de signes neurologiques n’exclut en rien cette pathologie.
Je recommande de réaliser une sérologie IgG et IgM pour orienter le diagnostic, bien que celle-ci ne soit pas totalement fiable. Un scanner serait l’examen de choix pour évaluer les bulles tympaniques, tandis que l’IRM est peu pertinente ici.
Pour le traitement, je maintiendrais le fenbendazole à 20 mg/kg SID pendant 28 jours. Une antibiothérapie empirique est aussi conseillée, même si la radiographie est normale. Les TMP/sulfamides sont une bonne première intention, mais la doxycycline ou l’azithromycine peuvent être envisagées. La durée du traitement antibiotique serait de 15 jours.
Côté symptomatique, la méclizine peut aider en cas de vertiges marqués, et une injection unique de maropitant peut être utile en cas de suspicion de nausées. Le méloxicam pourrait être administré à dose anti-inflammatoire (0,5 mg/kg BID) ou à dose analgésique (1 mg/kg BID) pendant quelques jours. En revanche, je ne recommande pas l’utilisation des corticoïdes chez le lapin.
Le clopidogrel ne me semble pas indiqué dans ce cas. Enfin, le nursing est essentiel : il faut surveiller l’alimentation et gaver si besoin, bien que l’anorexie soit souvent transitoire et liée aux vertiges.
Merci,
Véronique
Expert : Imagerie
Diplôme : American College of Veterinary Radiology (ACVR)
Bonjour,
Sur vos radiographies, les bulles tympaniques apparaissent symétriques, bien aérées, sans épaississement ni lyse de leur paroi. Le reste des structures crâniennes semble normal. Il n’y a donc pas d’indication radiographique d’otite. Un scanner permettrait de confirmer cette évaluation, mais si les propriétaires ont des contraintes financières, le traitement empirique recommandé par Dr. Mentré semble approprié.
Merci,
Laurent
Pour plus de simplicité, les informations d'identification Wizzvet et WeVet sont les mêmes.
SE CONNECTER AVEC MON COMPTE WIZZVETVous n'avez pas encore de compte ?
CRÉER UN COMPTE 1 seul identifiant pour 2 plateformes.
Mars Petcare et Dentastix™ ont le plaisir de vous offrir un tout nouveau kit en dentisterie, conçu en collaboration avec des vétérinaires spécialistes en dentisterie de Waltham et de l'EVDS.
J'écoute et je reçois mon kit gratuitement Je veux juste écouter